CR率达99%!首个BCMA CAR-T细胞疗法候选药横空出世!现有CAR-T疗法全力狙击血癌、肝癌等
2025年1月8日,EsoBiotec公司宣布,其在中国开展的一项针对复发/难治性多发性骨髓瘤的ESO-T01临床试验,首位患者已成功接受治疗。
ESO-T01的诞生或标志着一种突破性治疗手段的出现。它为患者提供了便捷的现成治疗方案,同时在成本控制上表现出色,有望让全球患者都能负担得起、用得上。
BCMA CAR-T细胞疗法报道

▲截图源自“EsoBiotec”
ESO-T01:首个进入人体临床试验的BCMA CAR-T候选药物
ESO-T01是首个进入人体临床试验并给药的体内BCMA CAR-T候选药物!它一种第三代复制缺陷型自失活慢病毒载体,可在体内将T淋巴细胞特异性地重新编程为高效的BCMA CAR-T细胞,具备免疫屏蔽性,有望极大简化患者的治疗流程。
相较于当前用于治疗多发性骨髓瘤的疗法,ESO-T01是一种“现成的”单剂量治疗方案,可直接进行全身给药,患者无需经历淋巴细胞清除这一环节。这意味着患者无需漫长等待,即可立即接受治疗,仅需一次静脉注射,整个过程不到10分钟。不仅如此,相较于体外CAR-T疗法,其成本可能降低一个数量级。
据悉,ESO-T01的初步临床数据将于2025年下半年公布,让我们共同期待这一重要时刻,见证其在医疗领域可能带来的变革。
CD19 CAR-T细胞或将彻底改变儿童B细胞急性淋巴细胞白血病治疗格局,完全缓解率达99%
CAR-T细胞疗法不仅可用于成年患者的治疗,也可用于儿童患者。《临床肿瘤学杂志》报道了一项中国自研的自体CD19导向的CAR-T细胞疗法,治疗儿童B细胞急性淋巴细胞白血病的II期临床试验,并已取得了令人鼓舞的研究结果。
本次共招募了225例可评估疗效的B细胞急性淋巴细胞白血病患者,包括194例患有难治性疾病或血液学复发的患者、31例患有单独的髓外复发的患者,中位年龄为7.6岁(范围,0.8-19.6岁),从入组到输注的中位时间为7天(范围,6-12天)。
结果显示:在194名患有难治性白血病或血液学复发的患者中,99.0%(192/194)的患者奇迹般获得了完全缓解(CR),所有192名患者均达到微小残留病灶(MRD)阴性状态。此外,78例接受巩固性移植的患者12个月的总生存率(OS)高达87.7%(95%CI,82.9~92.9;详见下图B)。
CD19 CAR-T细胞疗法治疗儿童B细胞急性淋巴细胞白血病的数据

▲图源“JCO”,版权归原作者所有,如无意中侵犯了知识产权,请联系我们删除
接受或不接受巩固性异基因造血细胞移植的血液学复发或难治性白血病患者12个月的无事件生存率(EFS)分别为73.5%(95%CI,67.3~80.3)、69.2%(95%CI,60.8~78.8)(详见下图A)。
CD19 CAR-T细胞疗法治疗儿童B细胞急性淋巴细胞白血病12个月的无事件生存率

▲图源“JCO”,版权归原作者所有,如无意中侵犯了知识产权,请联系我们删除
综上,自体CD19CAR-T细胞疗法用于复发或难治性B型急性淋巴细胞白血病患儿(含单独或合并髓外复发者)时,能实现相对持久的缓解,有望彻底改写复发或难治性儿童急性淋巴细胞白血病(ALL)的治疗模式。
C-CAR031 CAR-T改写晚期肝细胞癌格局,疾病控制率突破90%大关
CAR-T细胞除了治疗血液肿瘤外,近期研究人员还将其用于实体瘤的治疗,并获得了不俗的疗效。2024年美国临床肿瘤学会(ASCO)上,公布了C-CAR031治疗晚期不可切除的肝细胞癌(HCC)的1期惊艳数据!
C-CAR031是一款针对GPC(肝癌黄金靶标)的CAR-T细胞疗法。本次研究共入组24例晚期(BCLC C期)肝细胞癌(HCC)患者,其中83.3%(20/24)的患者伴肝外转移,先前治疗的中位数为3.5(范围1-6)。几乎所有患者(95.8%,23名)都接受了免疫检查点抑制剂(ICI)和酪氨酸激酶抑制剂(TKI)治疗,入组接受4个剂量水平(DL)的C-CAR031输注。
结果显示:全部入组患者的疾病控制率(DCR)高达90.9%,客观缓解率(ORR)达50.0%(详见下图)。在22例可评估疗效的患者中,90.9%的患者出现肿瘤缩小,不仅肝内病变,而且肝外病变,中位缩小率高达44.0%(范围为3.4%-94.4%)。此外,经过5.82个月的中位随访,Kaplan-Meier估计的中位无进展生存期(PFS)为4.27个月(95%CI,2.86-8.90)(详见下图)。
C-CAR031 CAR-T细胞疗法治疗晚期肝癌的数据

▲图源“ASCO”,版权归原作者所有,如无意中侵犯了知识产权,请联系我们删除
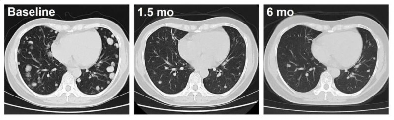
下图展示了两位代表性患者(患者C023、患者C010),经过C-CAR031治疗后,均出现明显反应,肿瘤持续缩小。
C023号患者(DL=4),从治疗1.5个月开始,在肺转移中表现出深度反应,可见肿瘤病灶明显缩小并减少。
▼C023号患者CAR-T治疗前后的影像学对比
肝癌
▲图源“ASCO”,版权归原作者所有,如无意中侵犯了知识产权,请联系我们删除
C010号患者,在DL 3时,表现出长达12个月甚至更长时间的持久反应,可见肿瘤明显缩小。
▼C023号患者CAR-T治疗前后的影像学对比
C-CAR031 CAR-T疗法治疗肝癌的效果
▲图源“ASCO”,版权归原作者所有,如无意中侵犯了知识产权,请联系我们删除

小编寄语
CAR-T细胞疗法作为肿瘤免疫治疗中的佼佼者,在治疗恶性肿瘤,尤其是血液肿瘤方面的成绩有目共睹,不仅有10多款产品相继获批上市。而且近年来,各国研究人员正在不断拓展CAR-T疗法的应用范围,并致力于研发异体CAR-T细胞疗法,以解决现有CAR-T细胞疗法制备时间过长、治疗费用过于昂贵等问题,力求让越来越多的癌症患者能受益,这也是无数癌症患者的共同心声!
如果您对现有的治疗方法不满意,或想寻求CAR-T、CAR-NK等新型抗癌疗法的帮助,可将治疗经历、出院小结、近期病理及影像学检查结果等,提交至全球肿瘤医生网医学部,进行初步评估或申请国外内抗癌专家会诊。
参考资料
[1]Wang T,et al.Coadministration of CD19-and CD22-directed chimeric antigen receptor T-cell therapy in childhood B-cell acute lymphoblastic leukemia:a single-arm,multicenter,phase II trial[J].Journal of Clinical Oncology,2023,41(9):1670-1683.
https://ascopubs.org/doi/full/10.1200/JCO.22.01214
[2]Zhang Q,et al.Phase I study of C-CAR031,a GPC3-specific TGFβRIIDN armored autologous CAR-T,in patients with advanced hepatocellular carcinoma(HCC)[J].2024.
https://meetings.asco.org/abstracts-presentations/234377
[3]https://www.esobiotec.com/esobiotec-doses-first-patient-in-investigator-initiated-trial-of-in-vivo-bcma-car-t-candidate-eso-t01-for-multiple-myeloma/