黑色素瘤是一种侵袭性皮肤癌,其发病率不断上升,是一个全球性的健康问题。我国的黑色素瘤病理类型与欧美差异大,预后更差。欧美患者疾病亚型以皮肤型为主(约占90%);而我国患者肢端型为主(约占50%),黏膜型占比约17%,而皮肤型占比仅约10%~20%。2022年中国黑色素瘤新发人数占全球2.7%,但死亡数占全球的9.2%,死亡率更高,治疗需求迫切。2024年2月16日,全球首个TIL疗法Lifileucel经美国FDA批准上市,针对PD-1抗体治疗失败的晚期黑色素瘤,标志着实体瘤细胞治疗时代的开启。但Lifileucel售价高达370万元人民币,再加上需多次注射的IL-2药品费用及其他特殊医疗护理费用,整体费用将超500万元,一般患者难以承受如此昂贵的治疗费用。可喜的是,国内晚期黑色素瘤患者也迎来打破“治疗--耐药--进展”恶性循环的契机。在君赛生物全球首款无需清淋、无需IL-2注射的TIL细胞疗法GC101临床试验中的一例晚期黑色素瘤患者,合并淋巴结、肺和肝转移,既往经过手术、多次化疗和靶向治疗后,肿瘤持续进展且发生扩散转移,此时患者已无可供选择的更好治疗方案。

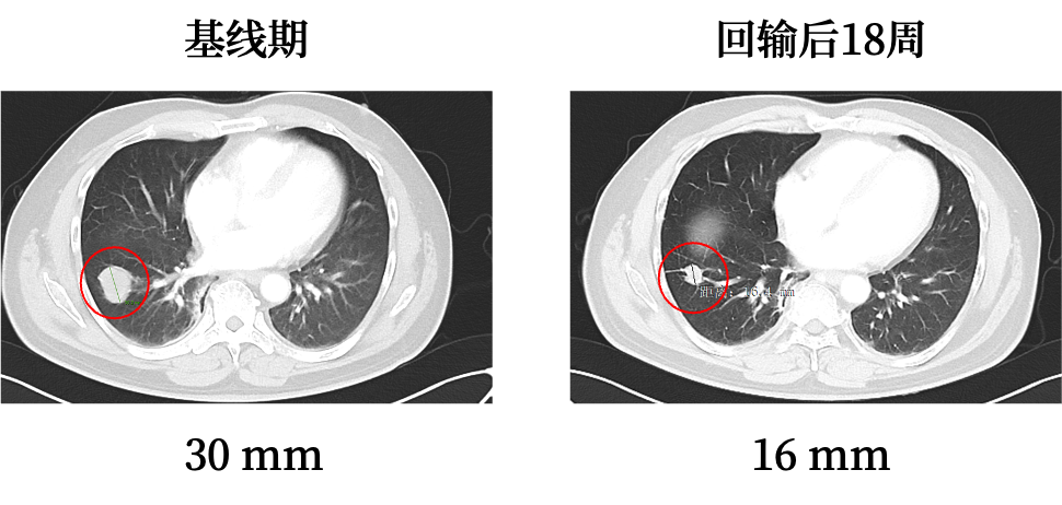
非常幸运,该患者就诊的医院当时正在进行君赛生物GC101的临床试验,患者毅然参加了GC101临床试验项目。接受回输后,未观察到明显不良反应,整体耐受性良好。回输后未接受其他治疗的情况下,肿瘤持续缩小,18周时肿瘤影像学评估,疗效为部分缓解(Partial Response,PR)。

还有更多的晚期黑色素瘤患者获益于君赛生物GC101正在开展的临床试验,这就是目前全球范围内达成安全性与有效性最佳平衡的TIL疗法,也是国内疗效与安全性被验证得最充分的TIL疗法,已经通过国家药监局批准,进入关键II期临床。君赛GC101的关键II期临床,可让有需求的患者有机会接受高品质且免费的TIL疗法治疗。
TIL细胞是患者体内最精准的天然抗肿瘤免疫细胞
肿瘤浸润淋巴细胞(TIL)是一类存在于肿瘤组织内部的淋巴细胞群体,经肿瘤抗原致敏,具有特异性高、覆盖肿瘤靶点广、归巢能力强等优点。TIL细胞疗法(TIL Therapy)以新鲜肿瘤组织为起始原材料,经过体外分离、修饰、扩增,再回输到肿瘤患者体内,以达到治疗肿瘤目的。

君赛生物实现TIL细胞疗法颠覆性创新
君赛生物凭借自主创新的颠覆性技术,突破TIL行业挑战,实现“6个无需”的多重优势,即TIL细胞培养无需使用高浓度IL-2,无需使用异源滋养细胞,基因修饰无需病毒载体,患者回输前无需高强度清淋化疗预处理,治疗后无需联用任何剂量IL-2,患者接受TIL治疗期间无需入住无菌病房并施行重症护理。

TIL细胞疗法的治疗流程
1、入组筛查
如您自愿参与TIL疗法的临床试验,您需要前往开展该临床试验项目的医院进行咨询,签署知情同意书,完成相关检查。
2、TIL细胞培养
您将配合医生通过手术获取新鲜的肿瘤组织,冷链运输到君赛生物细胞生产车间后,进行TIL细胞培养。
3、入院基线评估
TIL细胞回输前,您需要入院进行基线评估(影像学、肿瘤标志物等),接受实验室等常规检查,以便更好地监测身体状况。
4、回输前预处理(回输前5-6天)
TIL细胞回输前,您还将接受低强度的预处理,这有助于TIL细胞回输到体内后更好地发挥作用。
5、TIL细胞回输
在预定的回输日期,您将接受TIL细胞回输,同时会监测您的健康状况。
6、回输后监测
在回输TIL细胞后,您将在医院接受持续观察,并按要求进行相关检查。
7、回输后出院(回输后7-14天)
主治医生告知您可以出院后,您可办理出院手续,之后您将需要定期按要求到医院进行后续访视的检查。
8、疗效评估
您需要在回输后的6周左右入院进行首次疗效评估,此后每6周评估一次,每次疗效评估医生将按方案行血液、影像等相关检查
君赛生物GC101关键II期临床正在进行患者招募
GC101依托君赛生物自主开发、全球领先的DeepTIL®细胞富集扩增平台(Dual-free(ex vivo feeder cell&in vivo IL-2 free)expansion with optimized potency)开发而成,无需高浓度IL-2和滋养细胞即可培养出足够数量的高活性TIL细胞,且不依赖于IL-2。在临床应用中,GC101无需清淋和任何剂量的IL-2注射,就能展现出卓越的疗效。DeepTIL®细胞富集扩增平台赋予TIL细胞深入肿瘤内部发挥高效杀伤的能力,确保给患者带来深入且持久的疗效。
GC101是君赛生物研发进度最快的TIL疗法管线,也是全球首款无需清淋、无需IL-2注射的天然TIL疗法。已有临床数据显示,GC101针对多种类型晚期实体肿瘤的客观缓解率(ORR)超35%,已有多例患者肿瘤被完全清除,获得完全缓解(CR)疗效,其中无瘤生存最久时间已超3年。GC101的MIZAR-003项目是一项开放标签、随机、对照、多中心关键II期临床试验,旨在评估GC101 TIL细胞疗法在晚期黑色素瘤患者中的有效性与安全性。
主要入组标准:
1、18-75岁,男女不限;
2、不可切除的晚期、复发或转移性黑色素瘤患者(葡萄膜黑色素瘤除外);3、经PD-1抗体治疗失败或不耐受;4、至少2个病灶,身体可支持微创手术取材。主要排除标准:1、有严重基础性疾病;2、有重大传染性疾病;联系方式:19121190993(同微信)李老师:
为了提高研究者的审核效率,建议提前收集整理好如下材料,一旦审核通过,有机会迅速安排接受TIL治疗:
1、近期影像报告(最好能动态查看);
2、近期血常规、血生化报告;
3、近期重大传染病报告;
4、治疗病史。
申请报名微信 19121190993【微信同号】